COVID-19

Искусственный интеллект предсказывает течение пандемии

Платформа использует данные метаболомики и алгоритмы машинного обучения, и нацелена на оптимизацию пациентопотока во время пандемии

Применение машинного обучения для снижения повторной заболеваемости COVID-19

Исследование с применением алгоритмов машинного обучения позволило выявить наилучшие комбинации препаратов для предотвращения повторной заболеваемости COVID-19

ИИ по-новому объяснил причины смерти от COVID-19

Исследование показало, что смертность от самого вируса была относительно низкой; почти у половины пациентов развивается вторичная бактериальная пневмония, ассоциированная с искусственной вентиляцией легких

Роль телемедицины в терапии аффективных расстройств

С появлением новых технологий телемедицина прочно вписалась в нашу жизнь, а c пандемией Covid ее роль приобрела еще большую значимость

Количество утечек данных в здравоохранении выросло на 58%

Компания Varonis выпустила второй ежегодный отчет 2021 Data Risk Report Healthcare, Pharmaceutical & Biotech, посвященный проблемам безопасности данных в отрасли здравоохранения: больницах, фармацевтических и биотехнологических компаниях. Основой исследования стал анализ более 3 млрд файлов 58 различных отраслевых организаций.

Искусственный интеллект поставил москвичам полтора миллиона предварительных диагнозов

Теперь ИИ-система, разработанная «СберМедИИ» совместно с правительством Москвы, стала доступна и в регионах

В России появилось приложение для диагностики COVID-19 по дыханию и кашлю

Разработанное командой Сбера приложение AI Resp уже доступно для скачивания в Google Play и App Store.

Информационные технологии в медицине: портрет на фоне пандемии

Влияние пандемии на медицину расценивается как негативное, но у этого явления есть и положительная сторона

Просто покашляй на смартфон

Исследователи установили: кашель здоровых людей отличается от кашля бессимптомных носителей коронавируса. Отличия, неуловимые человеческим ухом, улавливает искусственный интеллект, встроенный в мобильное приложение.

Искусственный интеллект в медицине: острова решений в океане возможностей

В разработку технологий искусственного интеллекта для медицины сегодня инвестируют сотни компаний, однако в первую очередь подобные технологии должны избавлять от рутины — их не стоит рассматривать как замену врачу. Кроме того, качество ИИ-решений для медицины определяется качеством данных, используемых для обучения алгоритмов, а здесь существует множество проблем.

Просто покашляй на смартфон

Исследователи установили: кашель здоровых людей отличается от кашля бессимптомных носителей коронавируса. Отличия, неуловимые человеческим ухом, улавливает искусственный интеллект, встроенный в мобильное приложение.

Соблюдение социальной дистанции отследит искусственный интеллект

Систему, основанную на анализе больших данных, учат оценивать риск заражения коронавируса по расстоянию между смартфонами. Чем больше данных о динамике распространения вируса будет накоплено, тем точнее станут прогнозы.

В Красноярском крае 180 тысяч обращений на горячую линую по коронавирусу обработаны с помощью Naumen Contact Center

Решение позволяет перенаправлять вызовы из интерактивного голосового меню на операторов ведомственных линий, отвечающих на вопросы по определенным темам.

Ландшафт российских COVID-Tech нанесли на карту

На платформе ICT.Moscow собрали самые заметные российские ИТ-практики, направленные на борьбу с COVID-19.

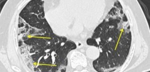
Крупнейшая в мире база КТ легких создана в Москве

Применение технологий искусственного интеллекта помогает врачам быстрее и точнее диагностировать стадии развития пневмонии.

Структуры Роснано снабжают медиков защитными экранами с 3D-печатными компонентами

Возможность быстро наладить производство нужных расходных материалов вызывает у медиков растущий интерес к аддитивным технологиям

Создана система для регионального мониторинга эпидемиологической обстановки

В компании «Доверенная среда» разработали решение по мониторингу и анализу данных о распространении COVID-19 в регионах России.

«Юним» открывает медучреждениям доступ к оцифровке результатов гистологии

До 1 июня клиникам предоставляется возможность бесплатно сканировать стекла для онкодиагностики

Влияние самоизоляции на психику человека. Советы психолога

Врач-психотерапевт АО «Медицина» Михаил Кумов дает несколько советов, как стабилизировать эмоциональное состояние и нивелировать всплеск агрессивных проявлений.

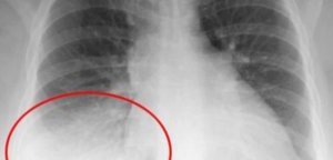
«Ростелеком» тестирует сервис для распознавания признаков коронавируса на рентгеновских снимках

Сервис на базе радиологической информационной системы, аккумулирующей рентгеновские снимки, апробируют в регионах.

Коммуникационные сервисы и эпоха перемен

Как коммуникационные сервисы меняют бизнес и в чем их преимущества перед популярными мессенджерами и системами видеосвязи — в свежем интервью с VK Tech.

Мы используем cookie, чтобы сделать наш сайт удобнее для вас. Оставаясь на сайте, вы даете свое согласие на использование cookie. Подробнее см. Политику обработки персональных данных