Philips

Цифровая реанимация: технологии в ежедневной работе ОРИТ

Cистема Philips ICCA помогает в работе врачам Федерального центра сердечно-сосудистой хирургии в Астрахани

С мобильной ультразвуковой системой врачи могут принимать решения быстрее

Как работает теле-ультразвуковая система Lumify, и что думают врачи российских медучреждений, которые уже успели оценить её работу и поделились своим мнением.

Готовность России к ценностно-ориентированному здравоохранению ниже среднего уровня

Это объясняется высокой доступностью медицинской помощи и в тоже время низкой удовлетворенностью населения медицинскими услугами.

Philips купила Forcare

Таким образом компания, известная как производитель диагностического оборудования, укрепляет позиции в клинической информатике

Philips: системы здравоохранения не готовы к вызовам будущего

Главным препятствием для создания интегрированной системы оказания медицинской помощи выступают сами технологии

В Москве открылся тренинг-центр Медси-Philips для врачей

В тренинг-центре российские специалисты смогут освоить передовые медицинские практики и получить навыки работы на современном оборудовании.

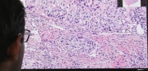
Искусственный интеллект поможет точнее диагностировать рак груди

Технология Philips и PathAI с использованием искусственного интеллекта и Больших Данных в исследовании патологий позволит улучшить диагностику рака груди

В Интернете вещей: зубные щетки и аппараты МРТ

Историю использования зубной щетки можно отправить врачу через облако Amazon

В операциях на позвоночнике используют технологии дополненной реальности

Технологии дополненной реальности объединяют 3D-рентгеновские изображения и видео с камеры и помогают хирургам проводить сложнейшие операции на позвоночнике

Трансформация партнерства

Philips поможет расти сети клиник «Эксперт».

Светодиоды помогут выращивать салат на Марсе

В Philips совместно с сотрудниками Аризонским университетом исследуют эффективные технологии «космического» земледелия.

В России представлен первый монитор с разрешением 5К

Новый монитор Philips отображает 14,7 млн пикселов – это в четыре раза больше, чем экраны Quad HD.

3D-телевизоры уходят с рынка

Компании Samsung и Philips официально объявили о том, что в телевизорах их производства 2016 года выпуска не будет поддержки 3D.

Все до лампочки

Системы освещения могут служить основой для Интернета вещей, считают в Philips. Эта задача станет одной из приоритетных для новой компании Philips Lighting.

Оторваться от телевизора

Дочка китайкого контрактного производителя электроники TPV Group пытается расширить сборочное производство на заводе под Санкт-Петербургом.

Гибкие световые полосы Philips управляются со смартфона

Помимо собственного программного обеспечения Philips светильники могут взаимодействовать еще примерно с тремя сотнями сторонних приложений, среди которых есть, например, программа синхронизации с телевизором: свечение меняется в зависимости от того, что происходит на экране.

Назначен новый глава Philips в России

Генеральным директором представительства стал Арман Воскерчан.

Еврокомиссия оштрафовала Samsung и Philips на 138 миллионов евро за ценовой сговор

Производители электроники обменивались конфиденциальной коммерческой информацией, считают в комиссии.

Коммуникационные сервисы и эпоха перемен

Как коммуникационные сервисы меняют бизнес и в чем их преимущества перед популярными мессенджерами и системами видеосвязи — в свежем интервью с VK Tech.

Мы используем cookie, чтобы сделать наш сайт удобнее для вас. Оставаясь на сайте, вы даете свое согласие на использование cookie. Подробнее см. Политику обработки персональных данных