![]() |
| Источник: Philips |
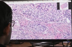
Royal Philips и компания PathAI, разработчик технологии искусственного интеллекта для диагностики патологий, объявили о сотрудничестве с целью повышения точности визуализации рака и других заболеваний. Партнерство направлено на создание решения для глубинного анализа больших массивов медицинских данных с применением технологий машинного обучения и искусственного интеллекта. На начальном этапе сотрудничества специалисты Philips и PathAI будут заниматься разработкой приложений, которые позволят автоматически находить и оценивать пораженные раковыми клетками ткани молочной железы.
С помощью специальных алгоритмов, которые позволяют анализировать большие массивы данных и автоматически определять сходства, врачи смогут ставить более точные диагнозы. Philips уже внедряет технологии глубинного обучения в свои ИТ-решения для визуализации медицинских данных Illumeo и IntelliSpace Portal 9.0. В скором времени компьютерные системы смогут изучать и анализировать тысячи оцифрованных изображений опухолевых тканей и других пациентских данных.
_250.jpg)