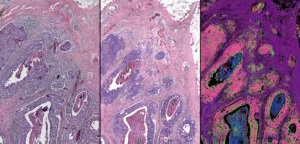
Инфракрасная микроскопия

Гибридная микроскопия – новый шаг в развитии цифровой биопсии

Гибридная микроскопия, сочетающая преимущества инфракрасной и оптической микроскопии, может стать новой эрой в развитии цифровой биопсии

Коммуникационные сервисы и эпоха перемен

Как коммуникационные сервисы меняют бизнес и в чем их преимущества перед популярными мессенджерами и системами видеосвязи — в свежем интервью с VK Tech.

Мы используем cookie, чтобы сделать наш сайт удобнее для вас. Оставаясь на сайте, вы даете свое согласие на использование cookie. Подробнее см. Политику обработки персональных данных