Добавление инфракрасного освещения к стандартному оптическому микроскопу может сильно изменить онкологическую диагностику – так считают исследователи из Иллинойского университета.

Работа опубликована в журнале  Proceedings of the National Academy of Sciences. Предлагаемая технология позволит изучать организацию клеток и даже их химические свойства без использования красителей. 

В настоящее время золотым стандартом диагностики является использование специальных красителей, которые придают клеткам особенную форму и паттерны. Тем не менее, во многих случаях отличить здоровую ткань от патологически измененной бывает сложно и диагностика носит субъективный характер.

Технологиии вроде инфракрасной микроскопии могут измерять молекулярный состав ткани и представлять количественные данные, которые помогают в определении типа клеток. К сожалению, инфракрасные микроскопы являются достаточно дорогой аппаратурой, а образцы требуют специальной подготовки, которая делает их непригодными для большинства других исследований.

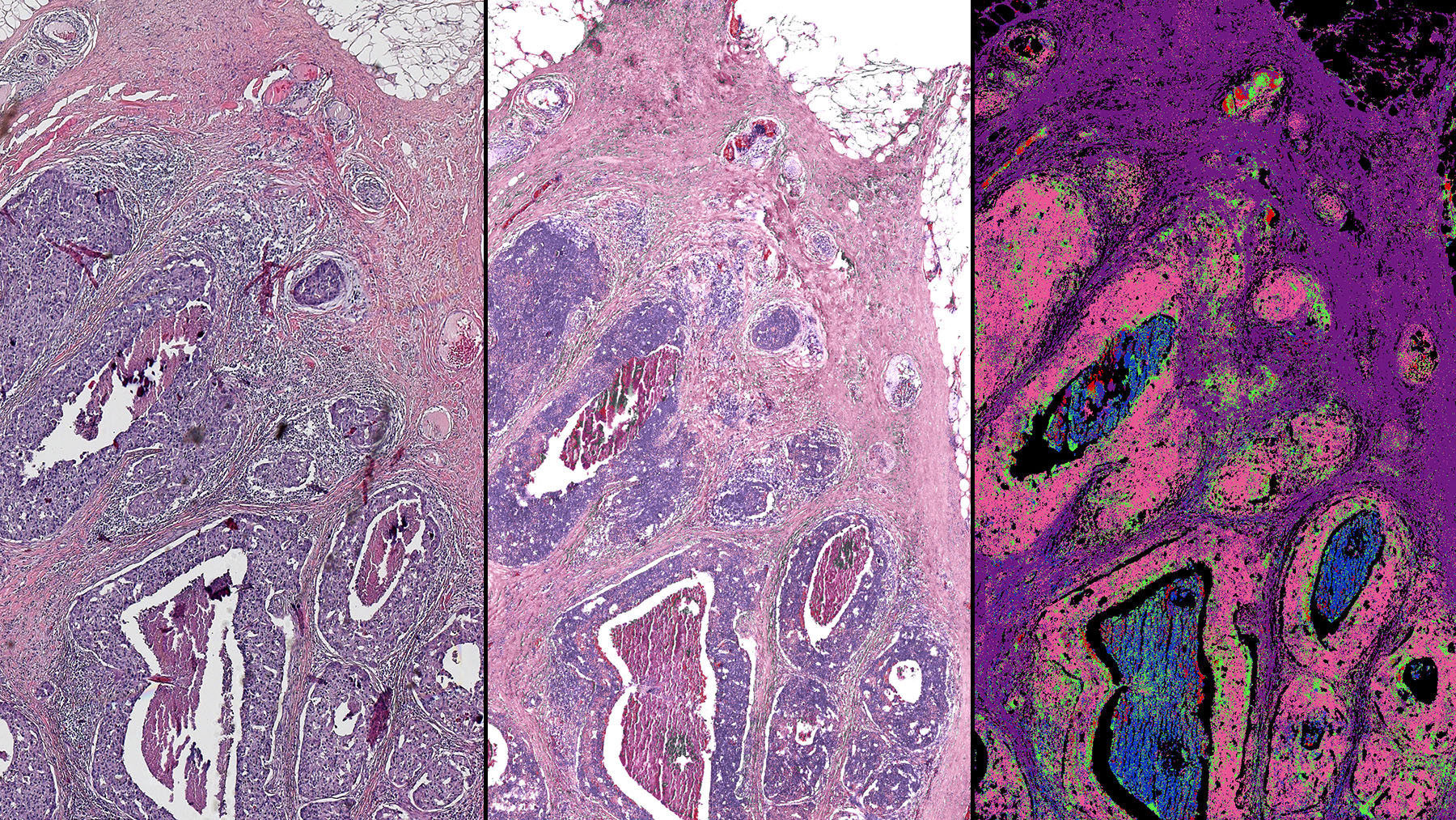
Авторы актуальной работы представили гибридную технологию микроскопа с инфракрасным лазером и специальной интерференционной линзой, присоединенной к оптической камере. Таким образом микроскоп одновременно считывает данные с инфракрасным излучением и создает оптическое изображение с высоким разрешением – то есть содержит сильные стороны обоих видов микроскопии. При этом данные с инфракрасным излучением анализируются вычислительными методами без использования красителей и фиксаторов, которые могут наносить вред клеткам и тканям.

Исследователи проверяли данный вид микроскопа на изображениях с образцов тканей молочной железы (здоровой и онкологической) и сравнивали их с изображениями с обычного микроскопа. Результаты цифровой биопсии коррелировали с результатами традиционной. Гибридный микроскоп обладает рядом преимуществ в сравнении с инфракрасной микроскопией: в 10 раз больший охват изображения и в 4 раза более высокое разрешение.

Дальнейшие планы авторов предполагают усовершенствование цифровых методов, используемых в микроскопии, в том числе сейчас идет работа над алгоритмами машинного обучения.

 

Источник: http://dx.doi.org/10.1073/pnas.1912400117