В России «компьютерная революция» началась 25 лет тому назад. С той поры число компьютеров растет по экспоненте, и крутизна этой экспоненты лимитируется только «тремя вещами» Наполеона1. По данным агентства DISCAVERY Research Group (май 2007 г.), представленным на интернет-ресурсе http://marketing.rbc.ru/rev_schort/3146941.shtml, в России только в 2006  г. продано 7,3 млн. компьютеров, из них 5,4 млн.  — настольных, 1,9 млн. — ноутбуков. Компьютеры стали неотъемлемой частью многих профессий. Компьютерные игры и чтение литературы занимают все больше времени у все большего числа людей всех возрастов.

Любое явление имеет две стороны — положительную и отрицательную. Наряду с несомненной пользой компьютеров, без которых невозможно представить современную жизнь, появилось множество публикаций, рассказов, слухов о вреде компьютеров, в частности о неблагоприятных изменениях зрения при работе с ними. Важно объективно оценить уже имеющуюся информацию и дать надежные, проверенные рекомендации, чтобы не позволить себя запугать, но знать, где и как соломки подстелить.

Сведения о воздействии компьютера на организм человека противоречивы. Достоверных дан-ных об отрицательном влиянии компьютера крайне мало. В 80-х и начале 90-х годов прошлого века появились сообщения о высокой частоте прерывания беременности у женщин, активно работавших с компьютером. Но, видимо, это в значительной степени было обусловлено малоподвижным, сидячим образом жизни, а не влиянием компьютера. Кроме того, различные исследования убедительно показали, что работа женщин за дисплеем не является фактором риска самопроизвольного аборта. В результате других исследований выяснилось, что соматические нарушения, депрессии или навязчивые мысли появляются у пользователей при работе с компьютером более 30 ч в неделю на протяжении 10 лет.

Значительно чаще у них возникают нарушения зрения, поэтому основное внимание было уделено возможному отрицательному влиянию на здоровье излучения дисплея. Это может быть рентгеновское либо световое излучение, излучение с частотой радиоволн или низкой и сверхнизкой частот.

Основная офтальмологическая симптоматика сводится к жалобам на зрительное напряжение, усталость глаз, раздражение, ощущение жжения, покраснение, чувство тумана перед глазами, двоение изображения. Весь этот комплекс жалоб и симптомов объединяет понятие «синдром компьютерного зрения». Было проведено обследование более 1300 пользователей, которое выявило, что большинство пользователей, страдавших указанным синдромом, имели признаки (симптомы), отличные от таковых у работников с условиями труда, близкими к нормальным (яркость, освещенность, спектр видимого света, условия контроля изображения на мониторе). Признаки расстройств зрения у пользователей компьютеров встречались чаще, были выражены ярче и напрямую зависели от продолжительности работы.

А по мере компьютеризации стремительно возрастала частота рецидивирующих офтальмологических жалоб. В США они отмечаются у 90% из 70 млн. сотрудников, занятых работой с компьютерами более 3 ч в день. Экстраокулярные (внеглазные) симптомы сводятся к головным болям, болям в спине и плечах. В итоге в США на диагностику и лечение синдрома компьютерного зрения тратится до 2 млн. долл. в год.

За рубежом эта проблема давно известна, изучается, предложены меры по профилактике и лечению. В нашей стране синдром компьютерного зрения, к сожалению, пока не привлек достаточного внимания. А ведь и компьютерные пользователи, и врачи должны иметь полное представление об этом расстройстве, чтобы оно не превратилось в эпидемию ХХI в.

Проявления и причины синдрома компьютерного зрения

Все разнообразие расстройств зрения может быть сведено к трем механизмам и путям формирования патологии: патология поверхности глазного яблока; нарушение аккомодации; экстраокулярный механизм.

Известно, что работа с дисплеем вызывает чувство боли при напряжении зрения и нарушение зрения (астенопия). Эти жалобы предъявляют 75% операторов после 6—9 ч работы. Проявления синдрома компьютерного зрения и патофизиологические механизмы представлены в таблице.

Астенопические симптомы

У многих людей есть минимальные нарушения зрения (субклинические), не проявляющиеся значимыми нарушениями аккомодации или бинокулярного зрения в обыденной жизни при повседневной зрительной нагрузке. Но при длительной работе с монитором снижается аккомодация, смещается ближайшая точка конвергенции и нарушается центральное зрение, т. е. изображение попадает не на макулу (область сетчатки, оптимальную для создания четкого изображения), а на периферические отделы сетчатки. Таким образом, предшествующие и ранее несущественные нарушения зрения при работе с компьютером, являясь слабым звеном, могут стать условием дезадаптации, в результате чего и появляется чувство усталости и напряженности в глазах.

Для подтверждения этого заключения обследовали две группы людей до начала работы с компьютерами (первая группа — компьютерные пользователи, вторая  — контрольная) с минимальным (0,5 диоптрии) изменением зрения. Исследование зрения повторили через четыре дня. Оказалось, что среди компьютерных пользователей в 3 раза чаще стало регистрироваться нарушение конвергенции, в 3,5 — скрытое косоглазие. Нарушенная аккомодация приходила в норму после двух дней отдыха от работы с компьютером.

Другим известным отрицательным последствием работы с видеотерминалами является преходящая миопия (близорукость). У компьютерных пользователей, в противоположность работающим с бумажными документами, за рабочий день миопия нарастает на 0,12 диоптрии. Пока еще не ясно, может ли эта преходящая миопия перейти в постоянную и при каких условиях, но уже имеющиеся сведения заставляют разрабатывать профилактические мероприятия для людей с постоянной миопией, занятых работой с компьютером.

Симптомы, связанные с изменением поверхности глаза

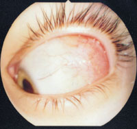
Компьютерные пользователи часто жалуются на сухость глаз, жжение, чувство «песка в глазах», тяжести. Возможна обратная реакция — слезотечение. Избыточное образование слезы обычно является первым этапом формирования синдрома сухого глаза, когда вырабатывается большое количество слезы, чтобы защитить поврежденную роговицу. Синдром сухого глаза может быть первым проявлением нарушения зрения у пользователей компьютерами. Прежде всего глаз высыхает при редком мигании (плохое освещение, напряженный взгляд). Мигание обеспечивает увлажнение роговицы. При отсутствии достаточного количества влаги на поверхности роговицы она высыхает, появляются раздражение и признаки воспаления (рис. 1, 2). Для сравнения приведено фото здорового глаза (рис. 3). Известно много провоцирующих факторов, усиливающих высыхание роговицы, в том числе:

Рис. 1. Полнокровие сосудов при переутомлении глаза      Рис. 2. Выраженная гиперемия и фолликулез (бугристость) оболочки глаза (конъюнктивы)

 Рис. 3. Здоровый глаз — гладкая бледная конъюнктива (слизистая, покрывающая глазное яблоко и внутреннюю поверхность века) с единичными сосудами

  • Факторы внешней среды, а именно: табачный дым, сухой воздух офисов, вентиляторы, бытовая пыль, бумажная пыль, пыль от лазерных и фотокопирных тонеров и т. д.
  • Снижение частоты мигания. Обычно человек мигает с частотой 10—15 раз в минуту. При работе с компьютером частота мигания значительно реже. Снижение этой частоты приводит к уменьшению смачивания роговицы слезой, ее высыханию и сухости глаза. Частота мигания уменьшается на 60% и более, что является существенным повреждающим фактором и важным условием развития синдрома компьютерного зрения.
  • Увеличение открытой площади роговицы. При чтении текста на бумаге взгляд обычно направлен вниз. Верхнее веко прикрывает большую часть передней поверхности глаза, минимизируя площадь испарения слезы. В противоположность этому при работе с экраном взгляд направлен горизонтально. Глазная щель широко раскрыта, и площадь испарения слезы значительно увеличена.
  • Пол. Синдром сухого глаза чаще встречается у женщин.
  • Возраст. Образование слезы уменьшается с возрастом. Синдром сухого глаза может возникнуть в любом возрасте как у мужчин, так и у женщин, однако более предрасположены к этому пожилые женщины.
  • Общие заболевания, локальные изменения глаза и некоторые другие состояния. Намного раньше и ярче синдром компьютерного зрения проявляется при наличии аллергического конъюнктивита (рис. 4), всех воспалительных заболеваний и любых других заболеваний глаз. Например, дисфункция желез, продуцирующих слезную жидкость, также приводит к сухости глаз. К аналогичным изменениям приводит и воспаление краев век (блефарит), поражающее так называемые мейбомиевы железы, выделяющие жировую смазку поверхности глаза. Отсутствие жировой пленки на поверхности слезной жидкости ведет к ее быстрому испарению и высыханию глаза. Неаккуратно нанесенная косметика блокирует выводные протоки секретирующих жир мейбомиевых желез на краях век и также приводит к дискомфорту глаз у компьютерного пользователя (лучше сказать, пользовательницы).Нарушение функции мейбомиевых желез усиливает тяжесть синдрома сухого глаза. Дисфункция желез обнаружена у 88%  людей  с симптомной формой синдрома сухого глаза (т. е. при наличии жалоб) против 28% людей с бессимптомной формой.

Рис. 4. Аллергический коньюнктивит, течение которого отягощено неупорядоченной работой с видеотерминалом компьютера; видна воспаленная красная конъюнктива со множеством узелковых уплотнений

  • Лекарственные препараты. Есть много лекарственных препаратов, способствующих  высыханию глаза. Самыми распространенными явля-ются мочегонные, гипотензивные, антигистаминные и психотропные. На фоне их применения расстройства зрения у компьютерных пользователей появляются раньше и выражены больше. Поэтому им требуется ограничить работу с монитором.
  • Контактные линзы. У людей, пользующихся контактными линзами, нарушения зрения при работе с компьютером выражены ярче, чем у тех, кто носит обычные очки. Основным условием переносимости контактных линз является достаточная влажность поверхности глаза (роговицы, лимба и склеры). Контактная линза должна абсолютно свободно, с минимальным сопротивлением скользить по глазу и внутренней поверхности века. Если поверхность глаза сухая, линза также высыхает и во время мигания прилипает к верхнему веку. Возникает своеобразный фрикционный эффект, который и обусловливает дискомфорт, неудобство, чувство инородного тела в глазу.

 

Характеристики монитора и другие экстраокулярные причины синдрома компьютерного зрения

Несомненно, особенности монитора, его способность передавать цвет, контрастность, поддерживать стабильность изображения, освещенность помещения и многие другие факторы существенно влияют на зрение пользователя.

Изображение на экране состоит из множества пикселов. Чем больше точек или линий формируют изображение на экране, тем оно четче и яснее. Даже небольшое снижение резкости изображения существенно повышает лаг аккомодации глаза (длительность периода создания четкого изображения на сетчатке глаза). В эксперименте по оценке реакции оператора при разном разрешении монитора выяснилось, что при разрешении 62 точки на дюйм вместо 89 значительно возрастало время поиска нужной информации на экране и время аккомодации. Следует напомнить, что утомление глаз напрямую зависит от времени поиска информации на экране и параметров движения глаза. К счастью, в последние 10—15 лет качество мониторов позволяет создавать изображение, приближающееся по характеристикам к полиграфическому.

На восприятие экранного текста влияют и другие факторы. Текст, содержащий заглавные и строчные буквы, воспринимается гораздо легче, чем написанный только строчными. Важно и расстояние между буквами и строками. Промежуток между словами должен быть шириной в одну букву, точно такой же требуется и между строк. Очень утомительны для зрения крайние степени контраст-ности и яркости. Оптимальны для восприятия темные буквы на светлом фоне. Глаз устает значительно больше, когда светлый текст размещен на темном фоне. Если оператор компьютера постоянно переводит взгляд с печатного текста на темный экран, то быстро развивается слабость мускулатуры радужки.

Восприятие изображения затрудняется и, следовательно, возрастает нагрузка на глаз при неправильном сочетании освещения экрана и помещения. При равномерном и достаточном освещении помещения глаза утомляются значительно меньше при использовании и ЭЛТ-
мониторов, и ЖК-дисплеев. Сочетание затемненного помещения и яркого экрана, засветка экрана ярким потоком света, расположение оператора напротив окна создают конфликт между изображением на экране и его восприятием, увеличивают время аккомодации, снижают ее амплитуду, способствуют астенопии.

Наибольшие сложности возникают при фиксации изображения мелких предметов. Восприятие картинки облегчается и удлиняется время работы с компьютером при равномерной засветке дисплея, что достигается с помощью антибликового покрытия. При наличии антибликового фильтра наружный свет проходит через него дважды (один раз к экрану и один раз от экрана к оператору), а собственное излучение монитора проходит через фильтр только один раз. Это и повышает четкость изображения. Через месяц после начала использования противобликовых фильтров сотрудники офисов, занятые с компьютером полный рабочий день, отметили значительно меньшее напряжение глаз, чем в контрольной группе.

Частота смены кадров изображения является одним из определяющих факторов, влияющих на состояние глаз. Если она низкая, возникает ощущение, будто изображение мигает. При очень низкой частоте (8—14  Гц) у пользователя могут даже возникнуть эпилептоидные судороги. Воспринимаемое мигание экрана приводит к появлению у пользователя раздражительности, общей неудовлетворенности, слабости, головных болей. Критическая частота, при которой человеческий глаз не способен воспринимать пульсацию луча и различать изображения как отдельные, равна 30—50 Гц, минимальная рекомендованная  — 75 Гц. Но полная синхронизация электрической активности сетчатки (электроретинограмма) со сменой изображения на экране наступает только при частоте 76 Гц. Высокая частота изображения смягчает глазную симптоматику и повышает функциональные возможности глаза. При низкой частоте продолжительность мигания уменьшается на 6%, а интервал между миганиями возрастает на 15%. При высокой частоте (100 Гц вместо 50 или 60 Гц) увеличивается скорость чтения экранного текста, уменьшаются число и частота беспорядочных установочных движений глаз (саккад), которые быстрее находят нужное изображение.

Сейчас распространены ЖК-мониторы, построенные на другом принципе вывода изображения. При сравнительном исследовании потребительских характеристик катодных и жидкокристаллических мониторов время поиска цели (в миллисекундах на линию), время фиксации (время, необходимое глазу для получения информации) и частота фиксаций на линию (число фиксаций, требующихся для сканирования одной линии) оказались значительно лучше в случае работы с ЖК-мониторами, чем с ЭЛТ. Значит, ЖК-мониторы позволяют создать качественное изображение, повысить производительность труда, минимизировать напряжение глазодвигательной мускулатуры и предотвратить усталость глаз при чтении электронных текстов.

В быту существует убежденность, что от мониторов исходит некая радиация, которая может ухудшить здоровье пользователя. В безответственных публикациях ажиотажно обсуждается излучение компьютеров, связанных с ним изменений кожи, заболеваний глаз и т. п. Но мониторы не являются источниками α-, β-, γ- или жесткого рентгеновского излучения. Очень небольшое количество образующихся мягких рентгеновских лучей полностью задерживается стеклом монитора. Многочисленные научные исследования убедительно доказали, что лицо и глаза пользователя не подвергаются никакому вредному излучению компьютеров (электромагнитному, ионизирующему) или их экранов. Более того, снижение с помощью специальных фильтров напряженности электрического поля, окружающего компьютер, никак не изменяет частоту и выраженность синдрома компьютерного зрения.

Профилактика и лечение нарушения зрения у компьютерных пользователей

Эта задача  — многокомпонентная. Прежде всего необходимо решить эргоофтальмологические проблемы, оптимизировать рабочее место и время работы. И только потом, если потребуется, нужно прибегать к медикаментозной терапии.

Известно, что избыточное освещение или затемненность помещения, а также неправильное распределение потоков света способствуют заболеванию глаз. Флуоресцентные лампы дневного света, мигающие, пусть и неосознаваемо для пользователя, с частотой колебания тока в сети 50 Гц, должны быть заменены на лампы накаливания. При нагревании светоиспускающего металлического волоска лампы она испускает постоянный поток света. Освещение рабочего места лампами накаливания дает более теплый свет, содержащий больше красных тонов, которые легче воспринимаются глазом. По сравнению с флуоресцентными лампами, дающими резкий свет, они меньше раздражают глаз. Конечно, и свет ламп накаливания может быть очень ярким. Лампу надо разместить так, чтобы свет не был направлен в лицо и не давал бликов на экране.

При сопоставлении эффективности работы компьютерного пользователя при свете различных источников (естественный свет, лампы накаливания, люминесцентные, ртутные или натриевые лампы), наибольшая производительность труда и наименьшее воздействие на глаза достигнуты при использовании натриевых ламп. Яркий свет из окон необходимо приглушить с помощью легких штор, жалюзи или тонировки. Если из поля зрения нельзя удалить яркое пятно, необходимо изменить расположение рабочего места.

Положение видеотерминала и поза работающего существенно сказываются на его самочувствии. Неправильная посадка сопровождается болями в спине, шее и плечах, значит, пользователь должен соблюдать нужную дистанцию между собой и монитором и установить экран на соответствующем уровне. Это снизит дискомфорт и повысит производительность труда. Глаз должен находиться от экрана на расстоянии не менее 40—50 см. Если расстояние меньше, то это обусловлено либо низкой разрешающей способностью экрана, либо мелкими деталями изображения, либо низкой остротой зрения. Чем больше расстояние, тем ниже напряжение глазных мышц.

Оптимально располагать экран на 10—200 ниже средней горизонтальной линии глаз. Чем выше направлен взгляд, тем больше напряжение глаз. Если экран находится выше, взор будет направлен вперед и даже немного вверх, из-за чего увеличивается площадь испарения слезной жидкости, возникает напряжение больших трапециевидных мышц и мышц шеи.

Чтобы снять все неспецифические раздражители,  провоцирующие развитие синдрома компьютерного зрения, рабочее место должно содержаться в чистоте (элиминация возможных аллергенов). Кроме того, не должно быть табачного дыма и других раздражающих загрязнителей внешней среды.

Длительная работа у компьютера без перерывов пагубна для зрения. У взрослых после 4 ч непрерывной работы развиваются признаки астенопии. Перерывы в работе, короткие и регулярные, позволяют существенно улучшить показатели зрения. Во время перерыва рекомендуется выполнить физические упражнения, чтобы снять напряжение с нагруженной мускулатуры глаза, которая, как и любая другая, нуждается в отдыхе. Самое тяжелое напряжение — изометрическое. Поэтому рекомендуется, закрыв глаза, совершить ими пять-шесть круговых вращательных движений, т. е. поднять взор вверх, перевести его вправо, затем вниз и, наконец, влево. Для снятия напряжения глазных мышц надо не реже двух раз в час переводить взгляд на далекие предметы, что релаксирует систему аккомодации.

Компьютерные очки широко рекламируются и в нашей стране, и за рубежом. Принцип их действия заключается в том, что специальные призматические линзы уменьшают конвергенцию. Призматические линзы репозиционируют глаза в более естественное положение. Точка фокуса отодвигается, уменьшается напряжение глазной мускулатуры и повышается четкость видения. Одновременно линзы слегка тонированы в теплые тона, выполняя функцию антибликового экрана. Проблема заключается только в том, что подбор линз для компьютерных очков должен выполнить профессионал в хорошо оснащенной лаборатории. Приобретение компьютерных очков в переходах и сомнительных ларьках чревато негативными последствиями.

Глазные капли (любриканты) используются для лечения синдрома компьютерного зрения. Смачивая поверхность глаза, они снимают его раздражение. Любриканты, восполняя объем слезы, позволяют восстановить нормальное кислотно-щелочное и солевое равновесие. Они, как и любой препарат, эффективны только при назначении специалистом. По данным опросов множества пользователей, закапывание капель, выбранных самостоятельно, не имело положительного эффекта. Водные растворы не всегда эффективны. Они быстро испаряются с поверхности глаза. Предложены капли с повышенной вязкостью, создающие на поверхности глаза защитную пленку. К сожалению, такие капли могут снизить остроту зрения.

* * *

Понятно, что все должны быть хорошо информированы о синд-роме компьютерного зрения. Лечить его сложно, а предот-вратить просто: перерывы в работе, правильная организация рабочего места и времени, адекватная коррекция зрения. Но при знакомстве с этой простотой и становится грустно: человек охотно принимает таблетку, но с трудом меняет образ жизни.

Об авторах:
Василий Делягин — членкор РАМН, доктор медицинских наук, профессор Российского государственного медицинского университета.
Руслан Абдулаев — кандидат медицинских наук, научный сотрудник Центра «Диагностика, адаптация, развитие
им. Л.С. Выготского» Министерства образования и науки РФ.
Марина Мельникова — кандидат медицинских наук, врач-офтальмолог Российской детской клинической больницы.


Детский глаз испытывает большие нагрузки в школе. Поэтому дополнительное утомление может оказать более выраженное негативное воздействие. Для детей начальных классов целесообразно ограничить время пребывания у экрана
20 мин, а для старшеклассников —
40—45 мин. Желательно после длительной нагрузки сделать гимнастику для глаз с переключением взора с близкого объекта на дальний и обратно. Необходимы общие физические упражнения и достаточная витаминизация пищи, например препараты черники.


Глоссарий 

Аккомодация — механизм, приспосабливающий глаз к видению предметов, находящихся от него на разном расстоянии.

Астенопия (букв. — слабость зрения) — неспособность глаза длительное время сохранять оптимальные условия для зрения.

Бинокулярное зрение — одновременное видение обоими глазами, что дает человеку стереоскопическую (в трех измерениях) картину мира; обеспечивается одновременной ориентацией зрительных осей на объект фиксации.

Конвергенция — сведение зрительных осей таким образом, чтобы они пересекались в фиксируемой точке.

Периферическое зрение — обеспечивается периферией сетчатки. Периферия сетчатки отражает мир приблизительно, в неясных контурах. В зоне сетчатки на расстоянии всего 100 от центральной ямки острота зрения составляет 0,2 от центрального зрения. Предназначение периферического зрения — отметить движение предметов, но не мешать человеку сосредоточиться на тонко дифференцированном изображении, возникающем в центральной ямке сетчатки.

Центральное зрение — форменное зрение. Названо так потому, что обеспечивается центральным отделом сетчатки (центральная ямка и желтое пятно). Самый важный элемент зрительной функции человека. Позволяет различать формы и мелкие детали предметов.

Электроретинография — метод количественной оценки функционального состояния нейронов сетчатки.

Изометрическое напряжение — напряжение мышцы при ее постоянной длине. Попробуйте удержать гирю на горизонтально вытянутой руке и засеките время. А теперь засеките время, в течение которого вы сможете поднимать гирю до этого же уровня и опускать ее. Сравнение будет явно в пользу чередования подъемов и опусканий груза, так как при изменяющейся длине мышцы в течение определенного периода она отдыхает и в ней восстанавливается кровообращение.

Патофизиология (патологическая физиология) — наука о закономерностях возникновения, развития и исхода заболеваний.

Рефракция глаза — характеристика глаза как оптической системы, состоящей из системы линз и световоспринимающих тканей.

Преломляющие структуры глаза — роговая оболочка и хрусталик. Если характеристики преломляющих структур глаза и его размеры соответствуют друг другу (нормальная рефракция = эмметропия), параллельные лучи света, проникающие в глаз, фокусируются в точке наилучшего видения (в области желтого пятна сетчатки). В этом случае на сетчатке получается четкое изображение рассматриваемого предмета. При нарушениях рефракции изображение получается нечетким. Среди причин нарушения рефракции можно назвать и уменьшение силы мышц (например, при их утомлении), изменяющих кривизну хрусталика и, следовательно, создающих условия для неадекватного преломления световых лучей.

Эргоофтальмология (от эргономика) — комплекс мер, позволяющих глазу выполнять его функцию наилучшим образом.


1Наполеон утверждал , что для войны нужны три вещи: деньги, деньги и деньги. Это утверждение универсально: указанные три вещи нужны для любых действий.